El colesteatoma como causa de hipoacusia
Un colesteatoma es un crecimiento epitelial benigno que aparece en el oído medio y que puede ser de origen congénito o adquirido a lo largo de los años por la sucesión de infecciones crónicas.
Se trata de una acumulación de tejido epitelial en el interior del oído que, en ocasiones, acaba provocando problemas de audición e incluso, en los casos más graves, complicaciones a nivel general.
Para los audioprotesistas resulta interesante conocer tanto sus síntomas como su fisiopatología con el fin de poder identificar esta dolencia si se presenta en alguno de sus pacientes.
Autores:
Dra. C. Valor García
Dra. M. J. González Gimeno
Dr. J. López Martín
Médicos adjuntos, Sección de Otología del Hospital Infanta Sofía, San Sebastián de los Reyes, Madrid.
El estudio del colesteatoma es de suma importancia en Audiología ya que es una patología que dejada a su libre evolución, puede ocasionar grandes daños en el oído medio e interno, y por lo tanto en las funciones de estos: la audición y el equilibrio.
Además, puede causar infecciones crónicas que a su vez pueden provocar graves complicaciones endocraneales, pudiendo incluso producir la muerte.
Definición
El término colesteatoma fue acuñado por el fisiólogo alemán Johannes Müller en 18381 y lo podemos definir como la acumulación de tejido epitelial en el interior del oído o en cualquier lugar del hueso temporal.
Causas
Para entender las causas del colestatoma, primero debemos distinguir entre dos grupos que clasifican los colesteatomas en primarios o congénitos y secundarios o adquiridos:
— Los colesteatomas primarios o congénitos aparecen en oídos con tímpanos íntegros y normales, como una ocupación de partes blandas en la caja del tímpano o una lesión ósea lítica en cualquier parte del peñasco o la escama del temporal, y en pacientes sin historia previa de otitis media crónica.
Se cree que estos colesteatomas aparecen como restos de tejido embrionario en el desarrollo del segundo arco branquial del que deriva el oído.
— Los colesteatomas adquiridos o secundarios aparecen normalmente en el seno de una historia clínica de otitis de repetición. Su origen fundamental está en un síndrome de obstrucción tubárica que produce un mal funcionamiento de las presiones en la caja del tímpano y que provoca desplazamientos de la membrana timpánica formando bolsas de retracción sobre las que se almacena el epitelio que forma el colesteatoma.
También puede aparecer cuando parte de las células del tejido epidérmico externo migra al oído medio a través de una perforación timpánica, ya sea esta debida a una otitis de repetición, a un traumatismo o a una cirugía.
Por lo tanto, las causas más frecuentes de formación de un colesteatoma son: el síndrome de obstrucción tubárica que, a largo plazo, crea una metaplasia del epitelio respiratorio al epitelio malpigiano; las migraciones de epitelio hacia el oído medio desde la piel del oído externo a través de una perforación timpánica; y los restos de epitelio embrionario que se quedan atrapados durante el desarrollo (esta última causa es la menos frecuente).
Fisiopatología
Atendiendo al punto anterior, el estudio fisiopatológico del colesteatoma se basa fundamentalmente en el colesteatoma secundario por una retracción timpánica, sobre el que se han propuesto muchas hipótesis a lo largo de la historia.
En la mayoría de estas teorías se considera que el fenómeno fisiopatológico inicial sería una disfunción tubárica secundaria por fenómenos inflamatorios, la cual provoca cambios patológicos en la presión del aire de la caja del tímpano y una alteración en el soporte de la membrana timpánica que sufre retracciones en los momentos de presión negativa en la caja, debilitándose y formando bolsas de retracción en la pars fláccida que es la zona más susceptible de retraerse por ser la más distensible. Sobre esta bolsa de retracción se acumularía el epitelio queratinizado originando el colesteatoma.
Las infecciones recurrentes en la mucosa del oído medio también pueden producir una metaplasia de epitelio respiratorio de disposición simple con células en forma cúbica a epitelio estratificado queratinizado, que al reproducirse más rápido puede provocar destrucción de las estructuras del oído medio al principio, pero que si evoluciona sin tratamiento puede afectar también al oído medio y al externo.
Además de estos mecanismos, se están estudiando las bases genéticas y la presencia de factores de crecimiento que podrían estar en relación con las bases y, sobre todo, con la agresividad del colesteatoma.
Anatomía patológica
El aspecto macroscópico de un colestatoma, en la mayoría de los casos, se presenta en la otoscopia como una estructura perlada en la membrana timpánica o en la caja del tímpano, visible a través de una perforación.
El aspecto microscópico consiste en capas de epitelio escamoso bien diferenciado que está entre una capa de tejido conectivo por dentro y una empalizada de capas de queratina muerta por fuera.
Cuadro clínico
El colesteatoma se estima que tiene una incidencia anual de 3 por cada 100.000 niños y de 3,7 a 13,7 por 100.000 habitantes en adultos, predominando en varones (1.4:1) blancos, menores de 50 años2. Suele ser unilateral.
Síntomas
El colesteatoma es una acumulación de epitelio en el oído medio. Este epitelio puede crecer y reproducirse durante largos períodos de tiempo sin dar ningún síntoma.
Frecuentemente, el primer síntoma que produce es la pérdida de audición, hecho que tiene un especial interés para los audioprotesistas, ya que a menudo son estos los primeros en tratar con un paciente con colesteatoma.
Si bien la hipoacusia puede ser el síntoma inicial, el más característico es la otorrea intermitente o continua, que no cede con tratamiento médico. Otros síntomas menos frecuentes son el dolor, los acúfenos, el vértigo, la parálisis facial y las alteraciones del gusto.
Diagnóstico
Exploración
El diagnóstico de un colesteatoma se basa esencialmente en la otoscopia, siendo esta la prueba más importante. En la otoscopia nos vamos a encontrar a menudo con una otorrea densa y fétida, aguda o crónica. Las costras sobre la región atical que enmascaran las bolsas de retracción, son otro de los hallazgos frecuentes

Izda. Costra sobre región atical.
Dcha. Bolsa de retracción, masa en caja del tímpano.
La presencia de una masa blanquecina o perlada en la membrana timpánica o a través de una perforación en la caja del tímpano es una imagen que debe levantar las sospechas sobre la existencia de un colesteatoma.
Conviene recordar en este punto que existen colesteatomas en ausencia de perforaciones timpánicas, lo que hace más difícil el diagnóstico.
Pruebas complementarias
Cuando la historia clínica nos hace pensar en la existencia de un colesteatoma, debemos realizar en primer lugar un examen otoscópico directo y si la sospecha se confirma, debemos hacer varias pruebas complementarias:
— Audiometría tonal liminar: prueba muy importante en el diagnóstico del colesteatoma. Vamos a encontrar una hipoacusia transmisiva moderada o severa en la mayoría de los casos, aunque cualquier hallazgo es posible, desde una audiometría normal o con hipoacusia mínima hasta una hipoacusia neurosensorial severa, incluso una cofosis. Suele ser unilateral.
— Pruebas de imagen:
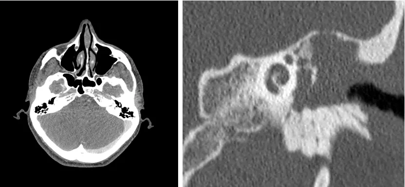
• TC de oído medio: la tomografía computarizada de alta definición es la prueba de imagen de elección en el diagnóstico del colesteatoma por su gran resolución espacial.
Los hallazgos típicos en el TC son: la presencia de retracción de la membrana timpánica, una lesión de partes blandas expansiva que erosiona el hueso haciendo desaparecer parcial o completamente el scutum, que es el borde óseo lateral del receso epitimpánico, pudiendo afectar también a la cadena de huesecillos y al tegmen tímpani que es la estructura ósea de la base del cráneo que separa el oído medio de la fosa media craneal que aloja el lóbulo temporal del cerebro.

Sup. Imagen sugerente de colesteatoma. Masa que ocupa la caja timpánica con erosión del scutum y del tegmen tímpani.
Inf. Ocupación de caja timpánica derecha, sin erosión ósea, que sugiere una otitis media no colesteatomatosa.
Cuando encontramos la ocupación de todo el oído medio por partes blandas pero no se observan signos de erosión ósea, debemos sospechar de la presencia de una otitis media crónica sin colesteatoma.
Es decir, el signo radiológico diferenciador del colesteatoma es la erosión ósea, con la excepción del colesteatoma primario en el que la dicha erosión es poco frecuente, por lo que la ausencia de esta tampoco excluye definitivamente el colesteatoma, sobre todo en lesiones pequeñas y poco evolucionadas. Por otro lado, el contraste de la TC tampoco es muy específico.
El valor predictivo negativo es muy alto por lo que es muy fiable el diagnóstico de exclusión. Sin embargo, el diagnóstico positivo no está exento de errores.
• Resonancia magnética convencional: proporciona información complementaria y es más resolutiva en el estudio de las partes blandas. La intensidad de señal que proporciona no es específica para los colesteatomas, que suelen dar una señal iso/hipointensa en T1 e hiperintensa en T2, si lo comparamos con la intensidad de señal que da el cerebro.
Esta misma distribución en la señal se da también en tejido de granulación y cicatricial que se observan en circunstancias postquirúrgicas, por lo que la resonancia magnética convencional resulta insuficiente en el diagnóstico de los numerosos casos de recaída de colestatoma en pacientes previamente operados.
• Resonancia magnética de difusión: es una técnica desarrollada en la última década que puede resultar muy útil en los casos en los que la técnica convencional resulta insuficiente, como explicábamos en el punto anterior.
Esta técnica, basada en la restricción a la difusión del agua en el tejido, es la que a día de hoy resulta más específica en el diagnóstico diferencial entre el colesteatoma y el tejido cicatricial en los oídos previamente operados. Aún así, la técnica tiene todavía muchos falsos negativos por lo que no resulta infalible, pero sí muy útil en el diagnóstico de las recurrencias de colesteatoma para evitar reintervenciones innecesarias.
Diagnóstico diferencial
Las principales entidades a tener en cuenta en el diagnóstico diferencial del colesteatoma son:
— Otitis media no colesteatomatosa.
— Carcinomas epidermoides.
— Granulomas de colesterol.
— Hemangiomas.
— Neurinomas del nervio facial.
— Paragangliomas.
— Queratosis obturans.
— Otitis externa maligna.
— Histiocitosis.
Complicaciones
• Fístula laberíntica: constituye la complicación más frecuente y se produce cuando la erosión ósea avanza hacia el laberinto posterior creando una fístula entre el oído medio y el espacio perilinfático, siendo el lugar más frecuente de comunicación el canal semicircular externo. Esta complicación es importante tenerla en cuenta a la hora de adaptar un audífono, ya que al ejercer presión u oclusión del conducto auditivo externo se pueden desencadenar los síntomas de vértigo debido a la fístula.

Lesión de partes blandas que erosiona el canal semicircular lateral.
• Parálisis facial: debida a la erosión ósea del conducto de Falopio, estuche óseo que protege al facial en el oído medio.
• Hipoacusia neurosensorial: debido a la extensión del colesteatoma al oído interno, produciendo una invasión mecánica o una laberintitis química que puede dañar las células ciliadas.
• Trombosis del seno sigmoides, que es una circunvalación que hace la vena yugular interna en la pared posterior de la cavidad mastoidea y que puede verse afectada por el colesteatoma y progresar hacia el torrente sanguíneo o a la cavidad craneal, provocando complicaciones fatales.
• Rotura del tegmen tímpani, que como hemos descrito anteriormente es la pared ósea que separa el oído medio de la fosa craneal media. Su erosión y rotura puede provocar meningitis y abscesos cerebrales de evolución mortal en ocasiones.

Sup. Trombosis del seno sigmoides derecho.
Inf. Lesión de partes blandas expansiva con destrucción del tegmen tímpani.
Tratamiento
El tratamiento preferente del colesteatoma es la cirugía.
No todos los pacientes son susceptibles de poder operarse debido a la edad, al riesgo quirúrgico o a enfermedades concomitantes, etc.
Las técnicas quirúrgicas varían también con cada paciente según el tamaño de la lesión y por los síntomas que produce, esencialmente por la hipoacusia, que dependiendo de su severidad puede orientar hacia una técnica quirúrgica más o menos radical.
En general, todos los colesteatomas presentan una hipoacusia transmisiva moderada-severa previa a la cirugía que empeora después de la misma, ya que se elimina el tejido que en parte hasta ese momento estaba contribuyendo a la transmisión del sonido. Es por esto que el papel del audioprotesista es fundamental porque casi todos los pacientes dependerán de alguna ayuda auditiva posterior.
Rehabilitación de la hipoacusia
Dependiendo del tipo y severidad de la hipoacusia, casi la totalidad de los pacientes intervenidos de colesteatoma precisan adaptación auditiva. Dicha adaptación es un reto importante para el audioprotesista, ya que la oclusión del conducto auditivo externo influye negativamente en la recurrencia de la enfermedad y además, en presencia de una fístula laberíntica puede haber síntomas de vértigo severo que impidan la adaptación de la ayuda auditiva. Por ello, es fundamental realizar una adaptación abierta, ya sea con audífonos, con implantes osteointegrados o incluso, en las hipoacusias severas, con la implantación de un dispositivo coclear.

Implante osteointegrado
Imagen cedida por cortesía de MED-EL Elektromedizinische Geräte Gesellschaft m.b.H.
Conviene recordar que, en numerosas ocasiones, es la hipoacusia el primer síntoma con el que debutan los enfermos de colesteatoma y son los audioprotesistas los primeros que exploran a estos pacientes, por lo que es una responsabilidad importante para ellos hacer adaptaciones solo cuando exista un diagnóstico médico previo en el que se haya descartado esta patología. Por el contrario, el retraso en el diagnóstico y la consiguiente libre evolución del colesteatoma puede provocar consecuencias devastadoras para la audición e incluso para la vida.
Bibliografía
(1) Soldati D1, Mudry A. Knowledge about cholesteatoma, from the first description to the modern histopathology. Otol Neurotol. 2001 Nov; 22(6):723-30.
(2) K. Baráth, A.M. Huber, P. Stämpfli, Z. Varga and S. Kollias. American Journal of Neuroradiology February 2011, 32 (2) 221-229; DOI: https://doi.org/10.3174/ajnr.A2052





hola